登入/註冊

低劑量放射手術結合3D立體堆疊技術治療心室頻脈

台灣
商機情報
關於
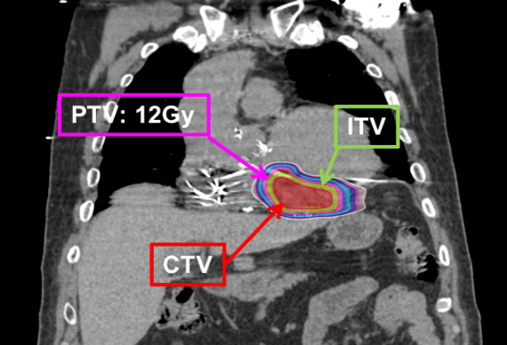
心室頻脈是冠心症及心臟衰竭者猝死的重要原因。核子醫學發展提供特定標靶分子探針評估冠狀動脈血流分佈及心肌活性與交感神經分佈,提高心臟問題定位機會。
特色優勢
心臟血管醫學中心與放射腫瘤科透過低劑量立體放射手術12格雷,合併3D立體堆疊放射技術,做為抑制心臟不正常放電神經迴路區,達到療效並保護心臟功能之最低潛力劑量。與25格雷放射手術比較,可成功降低心臟內的輻射劑量達58-98%,降低副作用發生的風險,但後續仍需更多案例與研究確立因果關係。
詳細規格
品牌
亞東紀念醫院

詳細資訊
關於
心室頻脈是冠心症及心臟衰竭者猝死的重要原因。核子醫學發展提供特定標靶分子探針評估冠狀動脈血流分佈及心肌活性與交感神經分佈,提高心臟問題定位機會。
特色優勢
心臟血管醫學中心與放射腫瘤科透過低劑量立體放射手術12格雷,合併3D立體堆疊放射技術,做為抑制心臟不正常放電神經迴路區,達到療效並保護心臟功能之最低潛力劑量。與25格雷放射手術比較,可成功降低心臟內的輻射劑量達58-98%,降低副作用發生的風險,但後續仍需更多案例與研究確立因果關係。
詳細規格
品牌
亞東紀念醫院

低劑量放射手術結合3D立體堆疊技術治療心室頻脈

台灣
醫療財團法人徐元智先生醫藥基金會亞東紀念醫院 的其他產品
熱門推薦